Skip to main content

see it. treat it. appeal

We want to bring a breakthrough MRI simulator cancer scanning machine to Weston Park Cancer Centre, but we need your help.With its exceptional body imagining capabilities, the Magnetic Resonance Imaging (MRI) scanning machine has become a powerful tool to help more precisely define areas of the body affected by cancer. Our dedicated oncologists will be able to see tumours more accurately and faster, to plan more targeted treatments, with fewer side effects. This will change futures. More people close to us will have more precise scans and treatments sooner.Donate now

We must, we can, improve the way we identify and treat cancer here.

We want the people of South Yorkshire – our wives and sons, our daughters and fathers, our husbands and partners, our family, friends and colleagues – to get the very best treatment and care following a cancer diagnosis. We want them to know they are in the best hands and have the very best treatment and technology at their disposal at Weston Park Cancer Centre in Sheffield.Help us reach our goal!

Double every donation you give with Westfield Health:

"At Westfield Health, we’re proud to support South Yorkshire’s mission to become the healthiest place to live.

That’s why we’ve made our largest-ever donation of £500,000 matched funding to Weston Park Cancer Charity’s groundbreaking See It. Treat It. appeal.

By match-funding every donation, we’ll double the impact of every gift up to £500,000, accelerating the delivery of this lifesaving technology. Together, we can transform lives, improve outcomes, and inspire even greater support for a healthier, brighter future for everyone.
Let's make a difference - together."

Double your donation today.
Weston Park Cancer Charity Logo
in partnership with
Westfield Health Logo
Westfield Health Logo

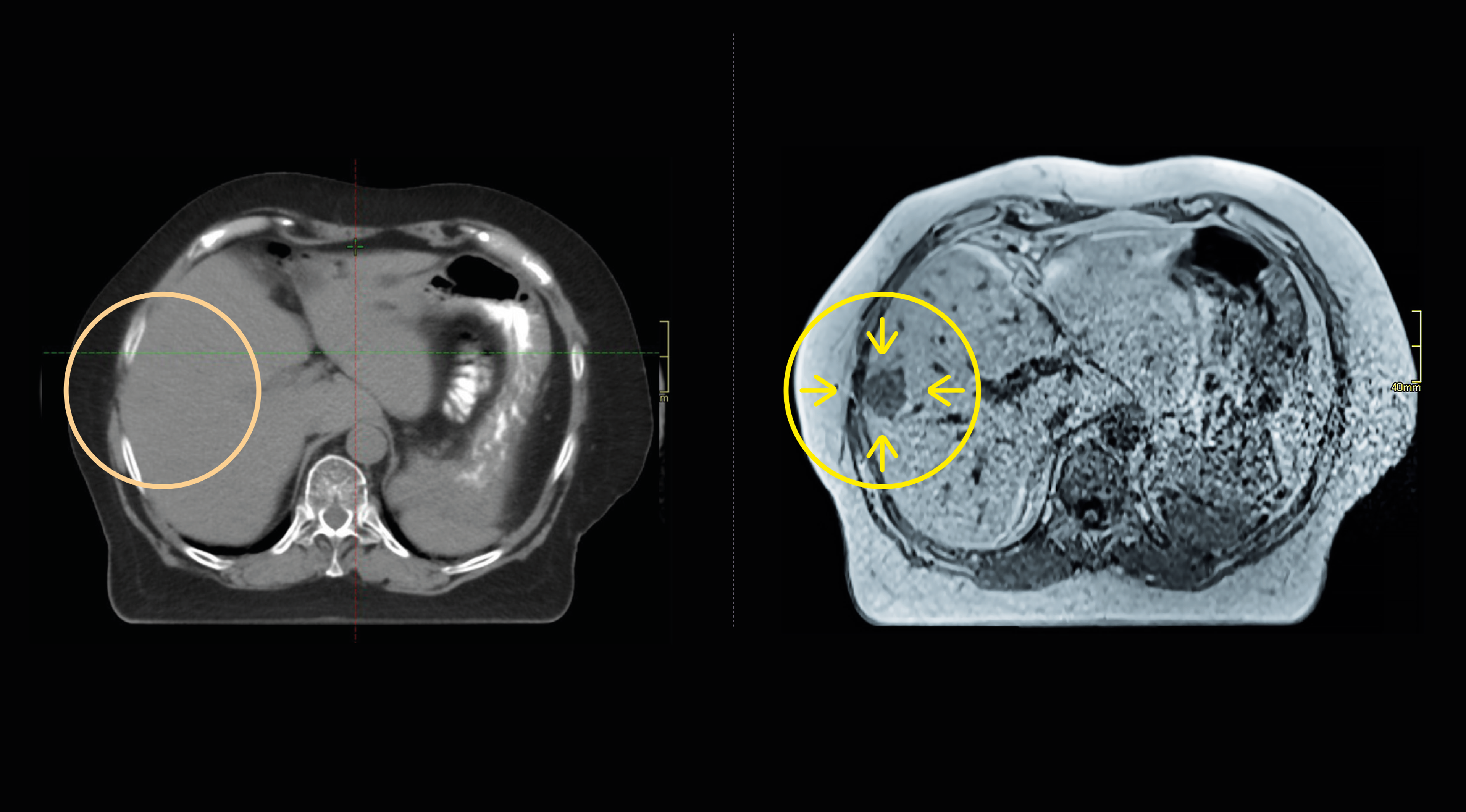
Standard CT scan of cancer patient

MRI scan of cancer patient

Benefits of MRI over CT

Improved patient outcomes:


The MRI SIM allows for unprecedented precision in radiotherapy planning, particularly for complex cancers like those in the head, neck, and pelvis. This precision results in better targeting of tumours while sparing healthy tissue, leading to fewer complications and faster recovery for patients.

Increased cancer survival rates:

By enhancing the accuracy of radiotherapy, the MRI SIM improves treatment effectiveness, which is directly linked to higher survival rates, especially for difficult-to-treat cancers. Early and accurate treatment planning reduces delays, giving patients the best chance of beating cancer.

Reduction in side effects:

The MRI SIM minimizes damage to surrounding healthy tissues, significantly reducing short and long-term side effects of radiotherapy. This improves patients’ quality of life during and after treatment, reducing the burden of cancer care on individuals and their families.

Immediate impact on patient care:


The simulator will benefit 12–18 patients daily, with improved integration into clinical workflows and providing immediate benefits from day one. Its precision supports personalised treatment plans, enhancing outcomes for every patient treated.

“Magnetic Resonance (MR) simulation will revolutionise our approach to cancer treatments. By improving the accuracy in targeting cancer, heightens confidence-potential to reduce treatment volumes, reduce side effects and improves quality of life. A dedicated MR SIM immediately provides a direct benefit and equitable care for cancer patients. A recent development in treatment of prostate cancer using SABR (Stereotactic Ablative Body Radiotherapy) meant that radiotherapy can be reduced from 20 treatment sessions to 5 for suitable patients, reducing hospital visits by 75%. MR simulation is a pre-requisite for such SABR treatments.”

Dr Satya Garikipati

The Need

The Benefit

Weston Park Cancer Centre urgently needs an MRI Simulator to enhance cancer treatment.

This advanced machine provides superior scans, allowing for more precise targeting of cancer cells while sparing healthy tissue. Currently, the nearest MRI Simulator dedicated to cancer is in Leeds. Bringing this life-saving technology to our region is crucial.

Patients:

Improved targeting means more effective treatment with fewer side effects and fewer hospital visits.

Staff:

Attracts and retains top medical talent, offering opportunities for professional growth of the NHS services.

Community:

Enhances local healthcare, ensuring our families and friends receive the best care close to home.

Research:

Provides exciting opportunities for cancer research in adaptive radiotherapy – the future of precision medicine by utilising advanced technology.

Our target is to raise £1.85m

To purchase and install this new MRI cancer treatment planning machine at Weston Park Cancer Centre, which will transform cancer treatment in our region.

Your donation will go to the ‘see it. treat it.’ appeal to fund a new MRI Simulator for Weston Park Cancer Centre. Any funds received over the appeal target will be used to invest in future cancer research and treatment for patients of Weston Park Cancer Centre.